Hyaline Cartilage-Costal Cartillage
المؤلف:
Kuehnel, W
المصدر:
Color Atlas of Cytology, Histology, and Microscopic Anatomy
الجزء والصفحة:
11-1-2017
2676
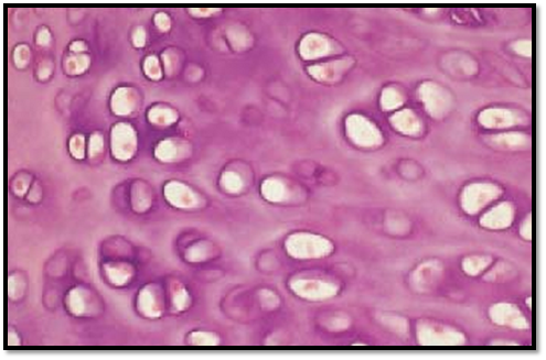
Hyaline Cartilage-Costal Cartillage
Mature hyaline cartilage tissue contains cartilage cells amid intercellular substances with different staining attributes—i.e., the interterritorial extracellular matrix. The cartilage cells occur as single cells or as groups, called chondrons or territories. The spotted staining of the interterritorial extracellular matrix ( interterritories) is due to different stacking densities of the collagen fibers and pronounced differences in glycosaminoglycan concentrations in the cartilage matrix. Glycosaminoglycans are considered responsible for the masking of collagen fibrils. At the upper edge of the figure is a thick layer of connective tissue, the perichondrium. Starting at the perichondrium, cartilage grows by apposition.
Stain: hematoxylin; magnification: × 100

Hyaline Cartilage—Costal Cartilage
This figure shows a detail from Fig. above at higher magnification. There is a clear organization into territories and interterritories. A particularly basophilic layer surrounds the chondrocytes or the isogenous groups—i.e., cells that have all arisen from one mother cell. This basophilic layer represents the cartilage capsule. It contains only few collagen fibrils, however, it is rich in chondroitin-4-sulfate, chondroitin-6-sulfate and keratan sulfate . These proteoglycans are responsible for the strong basophilia. The basophilia extends to the immediate vicinity of the cartilage capsule or cell, thus creating small coronas around the cell groups, sometimes called cartilage coronas or territorial matrix. The interterritories—i.e., the interterritorial matrix show much less intense staining.
Stain: hematoxylin; magnification × 200

References
Kuehnel, W.(2003). Color Atlas of Cytology, Histology, and Microscopic Anatomy. 4th edition . Institute of Anatomy Universitätzu Luebeck Luebeck, Germany . Thieme Stuttgar t · New York .
الاكثر قراءة في علم الخلية
اخر الاخبار
اخبار العتبة العباسية المقدسة