النبات
مواضيع عامة في علم النبات
الجذور - السيقان - الأوراق
النباتات الوعائية واللاوعائية
البذور (مغطاة البذور - عاريات البذور)
الطحالب
النباتات الطبية
الحيوان
مواضيع عامة في علم الحيوان
علم التشريح
التنوع الإحيائي
البايلوجيا الخلوية
الأحياء المجهرية
البكتيريا
الفطريات
الطفيليات
الفايروسات
علم الأمراض
الاورام
الامراض الوراثية
الامراض المناعية
الامراض المدارية
اضطرابات الدورة الدموية
مواضيع عامة في علم الامراض
الحشرات
التقانة الإحيائية
مواضيع عامة في التقانة الإحيائية
التقنية الحيوية المكروبية
التقنية الحيوية والميكروبات
الفعاليات الحيوية
وراثة الاحياء المجهرية
تصنيف الاحياء المجهرية
الاحياء المجهرية في الطبيعة
أيض الاجهاد
التقنية الحيوية والبيئة
التقنية الحيوية والطب
التقنية الحيوية والزراعة
التقنية الحيوية والصناعة
التقنية الحيوية والطاقة
البحار والطحالب الصغيرة
عزل البروتين
هندسة الجينات
التقنية الحياتية النانوية
مفاهيم التقنية الحيوية النانوية
التراكيب النانوية والمجاهر المستخدمة في رؤيتها
تصنيع وتخليق المواد النانوية
تطبيقات التقنية النانوية والحيوية النانوية
الرقائق والمتحسسات الحيوية
المصفوفات المجهرية وحاسوب الدنا
اللقاحات
البيئة والتلوث
علم الأجنة
اعضاء التكاثر وتشكل الاعراس
الاخصاب
التشطر
العصيبة وتشكل الجسيدات
تشكل اللواحق الجنينية
تكون المعيدة وظهور الطبقات الجنينية
مقدمة لعلم الاجنة
الأحياء الجزيئي
مواضيع عامة في الاحياء الجزيئي
علم وظائف الأعضاء
الغدد
مواضيع عامة في الغدد
الغدد الصم و هرموناتها
الجسم تحت السريري
الغدة النخامية
الغدة الكظرية
الغدة التناسلية
الغدة الدرقية والجار الدرقية
الغدة البنكرياسية
الغدة الصنوبرية
مواضيع عامة في علم وظائف الاعضاء
الخلية الحيوانية
الجهاز العصبي
أعضاء الحس
الجهاز العضلي
السوائل الجسمية
الجهاز الدوري والليمف
الجهاز التنفسي
الجهاز الهضمي
الجهاز البولي
المضادات الحيوية
مواضيع عامة في المضادات الحيوية
مضادات البكتيريا
مضادات الفطريات
مضادات الطفيليات
مضادات الفايروسات
علم الخلية
الوراثة
الأحياء العامة
المناعة
التحليلات المرضية
الكيمياء الحيوية
مواضيع متنوعة أخرى
الانزيمات
Arteriole
المؤلف:
Kuehnel, W
المصدر:
Color Atlas of Cytology, Histology, and Microscopic Anatomy
الجزء والصفحة:
17-1-2017
2205
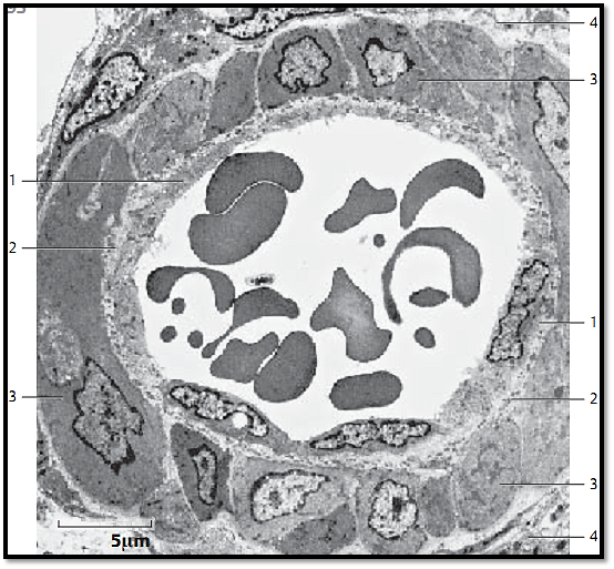
Arteriole
Arterioles are precapillary arteries (resistance vessels) with a diameter of less than 0.5 mm. This figure shows a section across the wall of an arteriole from the tunica adventitia of a human urethra. The endothelium is continuous 2 . Smooth circular muscles form the underlying tunica media 3 . Bundles of unmyelinated axons 6 are located in the tunica externa. Contact between two neighboring endothelial cells .
1 Nucleus of an endothelial cell
2 Cytoplasmic process from an endothelial cell
3 Smooth muscle cell with filaments and cell organelles
4 Golgi apparatus of a smooth muscle cell
5 Nucleus of a perivascular fibrocyte
6 Unmyelinated axon
7 Connective tissue of the tunica externa
8 Arteriole lumen
Electron microscopy; magnification: × 8000
Arteriole
Arterioles precede the capillaries. They are therefore of ten called precapillary arteries. In the hierarchy of the arterial system, arterioles are the smallest members. Along with the capillaries and venules, they form the terminal circulator y system (microcirculation ). The tunica intima of the arterioles consists of endothelium 1 with an underlying layer of connective tissue 2 . An internal elastic membrane is usually not present, except occasionally in a fragmented form. The tunica me dia shows only one layer of muscle cells 3 . In this micrograph, the myocytes of the tunica me dia 3 are mostly cut tangentially or across their axis. This indicates that the myocytes are arrange d in a spiral form. Collagen fibrils in different proportions occur between the muscle cells. The tunica adventitia 4 is a narrow layer. It consists of connective tissue cells and collagen f ibers.
1 Endothelium
2 Subendothelial connective tissue
3 Myocytes
4 Tunica adventitia
Electron microscopy; magnification: × 3000
References
Kuehnel, W.(2003). Color Atlas of Cytology, Histology, and Microscopic Anatomy. 4th edition . Institute of Anatomy Universitätzu Luebeck Luebeck, Germany . Thieme Stuttgart · New York .
الاكثر قراءة في علم الخلية
اخر الاخبار
اخبار العتبة العباسية المقدسة

الآخبار الصحية
